CENTRO MEDICO RENO
Chirurgia Orale e Maxillo-Facciale
La chirurgia orale comprende una serie di interventi dedicati al ripristino delle condizioni originali dei tessuti duri e molli della bocca. È un ambito che richiede competenza e un’esperienza consolidata, che non lascia spazio a improvvisazioni.
Al Centro Medico Reno, la chirurgia orale viene eseguita da professionisti altamente qualificati che operano con tecniche sicure e mirate a garantire risultati prevedibili e stabili nel tempo, in una sala chirurgica dedicata e con la presenza un medico anestesista qualificato.
Denti del giudizio inclusi o seminclusi
Rigenerazione ossea
Chirurgia mucogengivale
E se l'osso non c'è?
Rigenerazione ossea guidata
Al Centro Medico Reno eseguiamo interventi di chirurgia orale e maxillo-facciale con un approccio moderno e altamente specializzato, garantendo trattamenti sicuri, predicibili e mirati al benessere del paziente.
Chirurgia Orale
Interventi su gengive, mucose e strutture dentali eseguiti da professionisti esperti, con tecniche aggiornate e massima attenzione alla guarigione dei tessuti. Ideale per trattare patologie dei tessuti molli e duri della bocca in modo efficace e minimamente invasivo.
Chirurgia Mucogengivale
Trattamenti dedicati alla correzione di recessioni, difetti gengivali e alterazioni estetiche del sorriso. Sono procedure ad alta precisione, svolte da uno specialista di fama internazionale, per risultati naturali, armoniosi e stabili nel tempo.
Chirurgia Ricostruttiva Ossea
Tecniche avanzate per ripristinare il volume osseo necessario a future riabilitazioni implantari. Gli interventi vengono eseguiti in sala chirurgica dedicata, con la possibilità di sedazione cosciente per garantire serenità e comfort al paziente durante tutta la procedura.
Bruxismo e serramento
Stress, ansia e tensione emotive sono collegate a parafunzioni involontarie come il digrignamento (bruxismo) che causa usure dentali ed il serramento, cioè la contrazione statica e prolungata dei muscoli, origine di dolori muscolari e problemi all'articolazione temporo-mandibolare.
Disturbi all' Atm e all' orecchio
L' ATM e l orecchio condividono i percorsi nervosi, perciò un problema articolare può essere percepito come dolore all'orecchio, esacerbando acufeni e vertigini. Attraverso esami specifici, lo gnatologo indicherà la terapia appropriata.
Le Tecnologie

Ortopantomografia
Radiografia panoramica delle arcate dentarie.
TC Cone Beam
Con questa apparecchiatura vengono eseguiti gli esami 3D delle arcate dentarie.

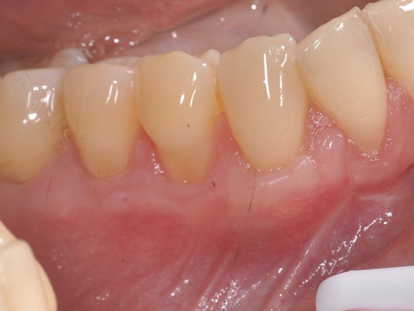
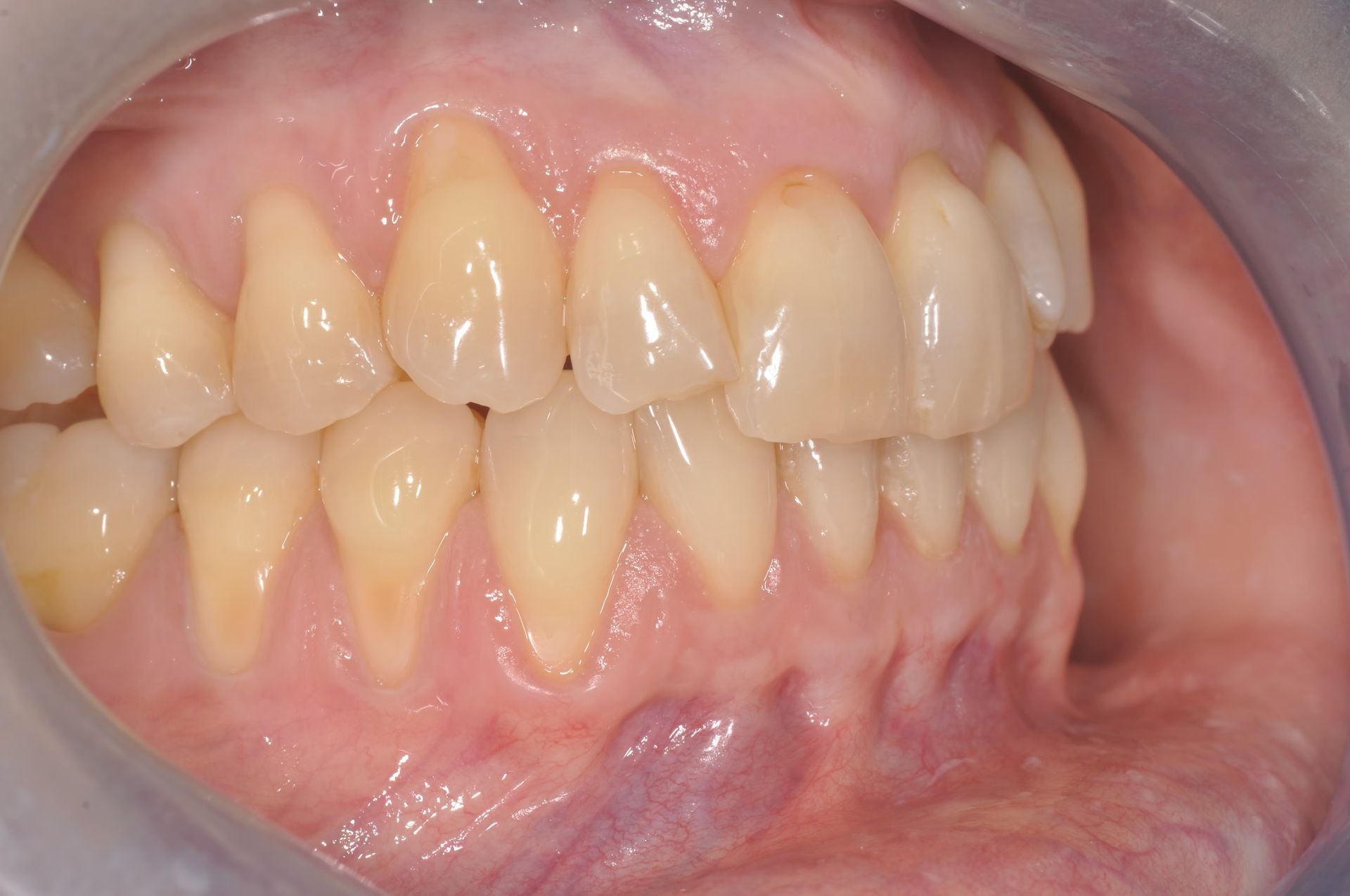
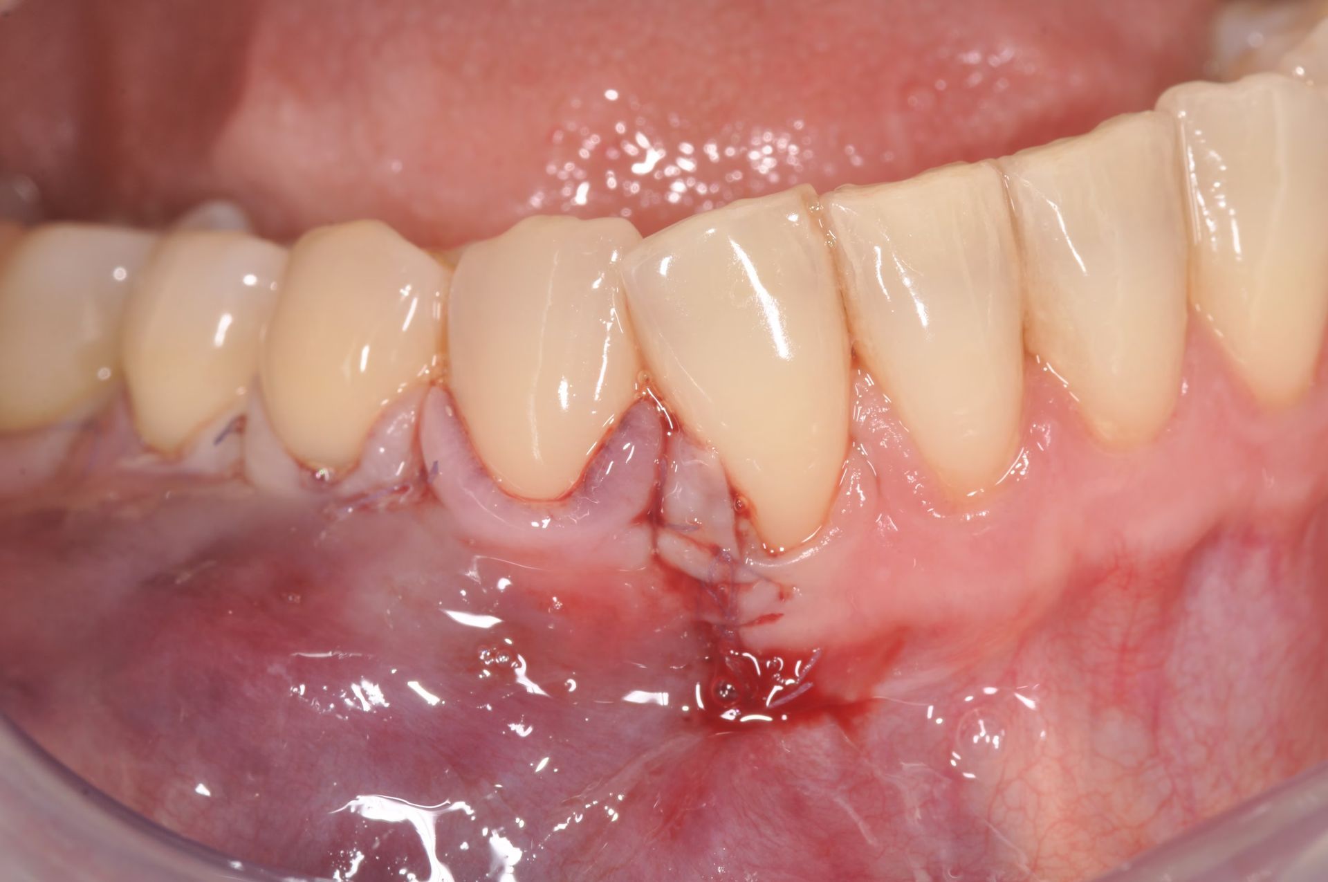
Estetica gengivale
La chirurgia muco gengivale include i trattamenti dedicati alla correzione di recessioni, difetti gengivali e alterazioni estetiche del sorriso. Richiedono una tecnica che funziona nelle mani di pochi, per questo il nostro centro si avvale di uno specialista di fama internazionale, per risultati naturali, che garantiscano il successo atteso e, soprattutto, siano stabili nel tempo.
Tutti gli interventi di chirurgia orale vengono eseguiti in una sala chirurgica dedicata, in presenza di un medico anestesista, con possibilità di ricorrere alla sedazione cosciente, una procedura anestesiologica sicura e controllata che permette al paziente di entrare in uno stato di profondo rilassamento, pur rimanendo sveglio e collaborante, riducendo ansia e stress e garantendo serenità e comfort al paziente durante tutta la procedura.
Hai bisogno di ulteriori informazioni o desideri un confronto diretto con un nostro specialista?
Compila il form o contattaci: saremo lieti di rispondere alle tue domande e guidarti nel percorso più adatto alle tue esigenze.
Contattaci
Contattaci










