CENTRO MEDICO RENO
Sbiancamento ed Estetica Dentale
Un sorriso luminoso ed armonioso contribuisce non solo all’estetica, ma anche al benessere e alla sicurezza personale.
Al Centro Medico Reno proponiamo trattamenti dedicati allo sbiancamento dentale e all’estetica del sorriso, studiati su misura per ogni paziente per garantire un risultato visibile e soddisfacente.
Sbiancamento professionale e domiciliare su misura
Assenza di sensibilità post trattamento
Risultati naturali e duraturi
In materia di sbiancamento offriamo diverse soluzioni, sia professionali in studio che domiciliari, sfruttando le
mascherine trasparenti per trattamenti diurni o notturni.
La scelta del trattamento viene personalizzata in base alle esigenze del paziente in termine di
risultato e durata nel tempo, in base al colore di originario del dente e agli eventuali difetti dello smalto o recessioni presenti, al fine di ottenere un
risultato naturale
e visibile, evitando qualsiasi sensibilità.
I nostri protocolli prevedono l’utilizzo di prodotti e tecniche controllate, efficaci e non aggressive, che rispettano la struttura del dente e garantiscono un'esperienza confortevole.
Il tuo sorriso è il tuo biglietto da visita:
fallo brillare
Blancone Ultra
BlancOne® Ultra è per i pazienti in cerca di risultati evidenti in unica seduta.

Blancone Home
Sbiancamento domiciliare per trattamenti prolungati, utilizzando gli allineatori trasparenti.

Design del sorriso: forma, allineamento
e colore che hai sempre voluto
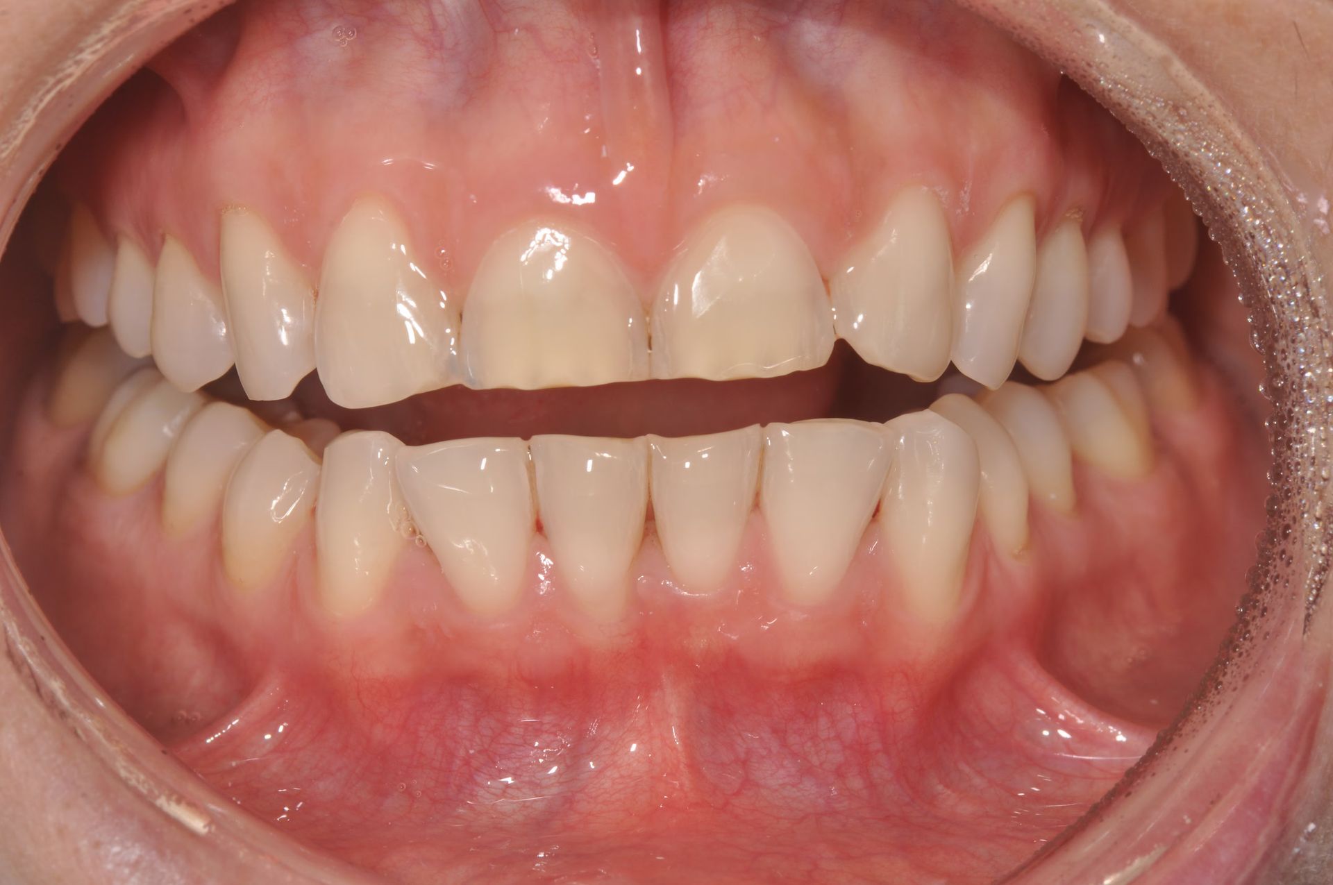
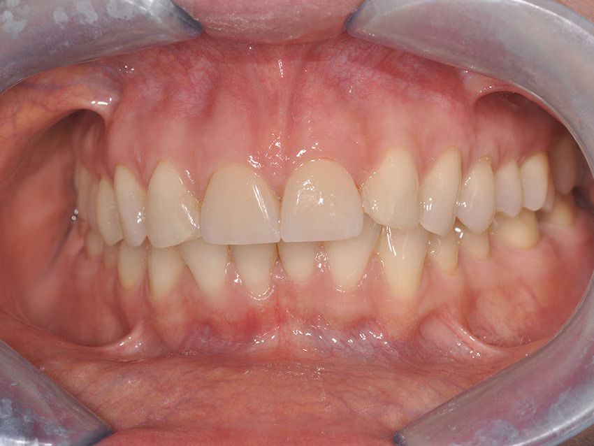
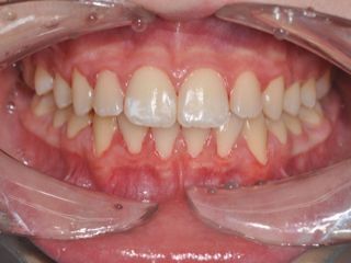
In alcuni casi lo sbiancamento può non essere sufficiente per raggiungere un risultato estetico ottimale, soprattutto in presenza di difetti di forma, usura degli elementi dentali, vecchie ricostruzioni visibili o discromie causate da cure endodontiche o traumi. In questi casi proponiamo interventi di ameloplastica, faccette dentali o corone in zirconia ad altissimo impatto estetico, identici al dente naturale per trasparenza e traslucenza.
L’obiettivo dei nostri trattamenti estetici non è trasformare, ma valorizzare, armonizzando colore, forme e proporzioni del sorriso con un approccio personalizzato che mette sempre al centro esigenze, aspettative e caratteristiche individuali.
Hai bisogno di ulteriori informazioni o desideri un confronto diretto con un nostro specialista?
Compila il form o contattaci: saremo lieti di rispondere alle tue domande e guidarti nel percorso più adatto alle tue esigenze.
Contattaci
Contattaci













