CENTRO MEDICO RENO
Ortodonzia e Pedodonzia
L’ortodonzia moderna offre oggi soluzioni efficaci, confortevoli e quasi invisibili per correggere disallineamenti dentali e migliorare estetica e funzione del sorriso.
Al
Centro Medico Reno
ci occupiamo di trattamenti ortodontici per
adulti, adolescenti e bambini, seguendo ogni paziente con un approccio preciso e attento, mettendolo al centro.
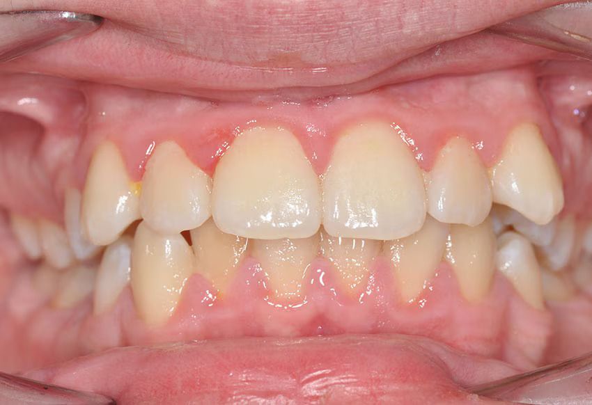
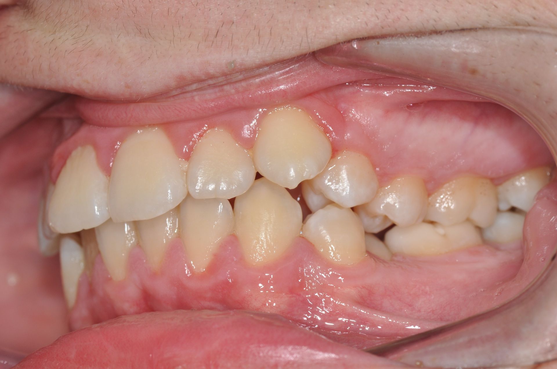
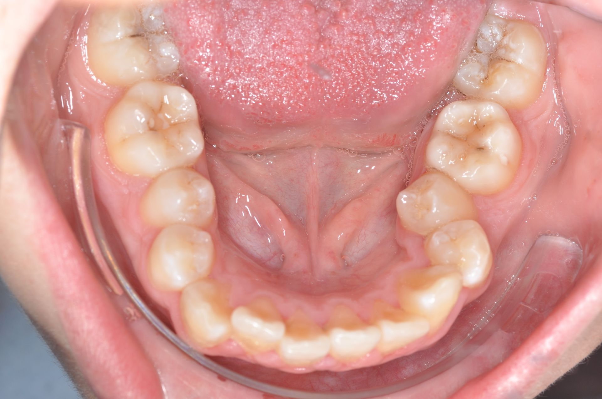
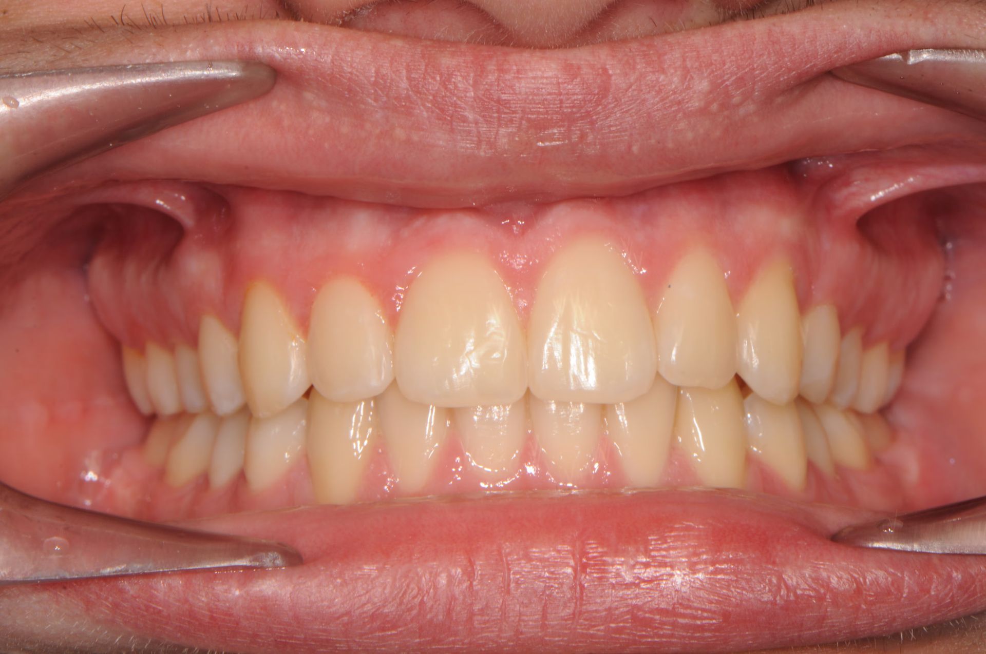
Allineamento con mascherine trasparenti
Ortodonzia per tutte le età e condizioni dentali
Un percorso studiato per te
Ortodonzia invisibile
Se ti dicessimo che è possibile ottenere l’allineamento dentale che hai sempre desiderato senza rinunciare all’estetica?
Le
mascherine trasparenti
rappresentano una soluzione all'avanguardia, discreta e confortevole in quanto sono invisibili ad una distanza sociale, non ostacolano l'articolazione della voce e permettono di mantenere ottimale i livelli di igiene essendo removibili.
Questa tecnica, non richiede appuntamenti mensili in studio, perciò si concilia anche con le esigenze dei pazienti non residenti nella nostra città. Queste caratteristiche fanno sì che sempre più adulti decidano di intraprendere un trattamento ortodontico per migliorare la funzionalità dentale e l'estetica del proprio sorriso, senza interferire con la vita sociale e lavorativa.
Con oltre quarant'anni di esperienza, la Dottoressa Dall'Olio segue con passione e zelo anche le malocclusioni più complesse, ricorrendo ove necessario, alle tecniche ortodontiche convenzionali.
Ogni piano di trattamento consegue ad uno studio preliminare approfondito, con la possibilità di una pre-eleborazione digitale dettagliata del trattamento stesso, in modo che il paziente possa conoscere, sin da subito e con la massima precisione, il miglior risultato possibile a cui può aspirare, attraverso una
visualizzazione dinamica in 3D
del suo personale piano di cura.
Gli allineatori trasparenti
Gli allineatori trasparenti (scelti tra quelli forniti dalle aziende multinazionali leader del settore) servono a correggere non solo affollamenti e disallineamenti dentali, ma sono efficaci anche nel trattamento di casi più complessi (parodontopatici, gestione degli spazi, estrazioni dentali, pre-protesica, intercettiva, ecc.), talora in associazione con ausili mutuati dalle tecniche ortodontiche tradizionali.

Invisalign
Invisalign è un sistema di ortodonzia invisibile che utilizza una serie di mascherine removibili e trasparenti o aligners, per allineare i denti affollati, fornendo un'opzione estetica e discreta rispetto agli apparecchi fissi tradizionali.

Suresmile
Sistema ortodontico innovativo che impiega allineatori trasparenti personalizzati per allineare i denti, affrontando affollamenti, spazi e malocclusioni con discrezione e quasi invisibilità.

I piccoli pazienti meritano
un'attenzione speciale
Un approccio materno ed un ambiente sereno e luminoso garantiscono un primo contatto positivo per il bambino con la poltrona del dentista.
Il lavoro della Dottoressa Trizzino, pedodontista dello studio, si fonda sulla prevenzione e su controlli personalizzati, generalmente a partire dai 5 anni di età, intercettando ed intervenendo in maniera mini-invasiva, sempre rispettosa dei tempi e della psicologia dei bimbi, riducendo al minimo lo stress associato alle cure.
Hai bisogno di ulteriori informazioni o desideri un confronto diretto con un nostro specialista?
Compila il form o contattaci: saremo lieti di rispondere alle tue domande e guidarti nel percorso più adatto alle tue esigenze.
Contattaci
Contattaci












