CENTRO MEDICO RENO
Implantologia e Protesi
Quando si arriva a perdere uno o piu' elementi dentali, le tecniche di implantologia e protesi garantiscono la riabilitazione funzionale ed estetica del sorriso. Al Centro Medico Reno eseguiamo tali trattamenti con tecniche aggiornate ed i migliori materiali certificati, garantendo sicurezza, predicibilità e risultati naturali.
Impianti tradizionali o a carico immediato
Scansione intraorale: addio alle impronte!
Soluzioni fisse come prima scelta
Implantologia:
Torna a sorridere con sicurezza!
Una volta eliminate le cause che hanno portato alla perdita di uno o più denti e valutato lo stato di salute generale del paziente, si procede con la pianificazione dell'intervento su TAC, che fornisce al medico informazioni circa la qualità e la quantità dell'osso. In base alla condizione clinica dei tessuti di partenza e alla zona da riabilitare, viene scelta la tecnica chirurgica più idonea, tradizionale o a carico immediato.
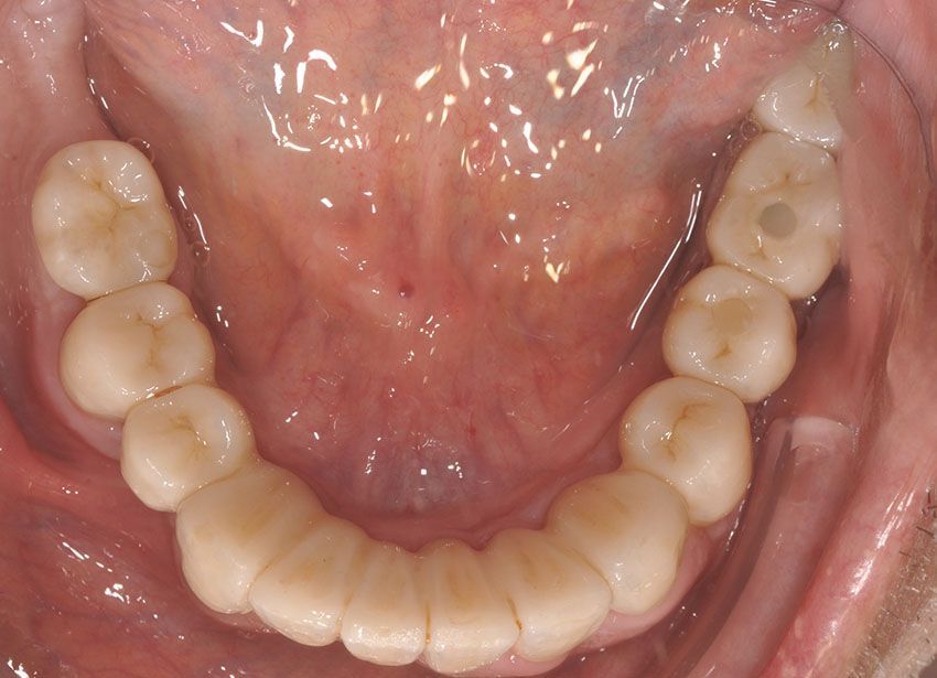
Sia per la realizzazione di corone su impianti osteointegrati che su dente naturale, usiamo la tecnologia digitale CAD/CAM: si progetta il restauro su un modello 3D ricavato da una scansione intra-orale, sul quale viene realizzato un manufatto ad alta precisione, con risultati estetici impareggiabili, incrementando il comfort per il paziente.
Dì addio alle impronte tradizionali!
Bruxismo e serramento
Stress, ansia e tensione emotive sono collegate a parafunzioni involontarie come il digrignamento (bruxismo) che causa usure dentali ed il serramento, cioè la contrazione statica e prolungata dei muscoli, origine di dolori muscolari e problemi all'articolazione temporo-mandibolare.
Disturbi all' Atm e all' orecchio
L' ATM e l orecchio condividono i percorsi nervosi, perciò un problema articolare può essere percepito come dolore all'orecchio, esacerbando acufeni e vertigini. Attraverso esami specifici, lo gnatologo indicherà la terapia appropriata.
3shape Trios

IOS (Intra Oral Scanner)
Identificato come uno degli scanner intraorali più precisi per impronte di arcata completa.

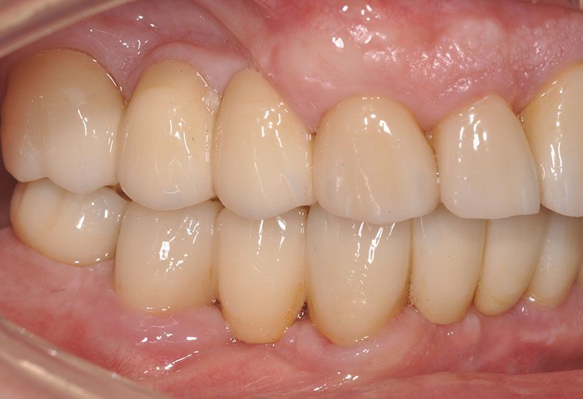
Soluzioni fisse come prima scelta
e Rigenerazione ossea guidata (Guided Bone Regeneration)
Quando l’osso non è sufficiente a sostenere un impianto, è possibile ricorrere alla rigenerazione ossea guidata, una tecnica che permette di ricostruire il volume osseo mancante.
Questa procedura, eseguita da professionisti con esperienza specifica, consente di ripristinare le condizioni ideali per il posizionamento implantare e ottenere una riabilitazione stabile e duratura. Per garantire estetica, comfort e funzionalità, prediligiamo
riabilitazioni fisse.
Il nostro obiettivo è restituire un sorriso naturale e armonioso attraverso protesi stabili e integrate, ricorrendo alla
protesi mobile solo quando non esistono alternative valide.Le soluzioni fisse Columbus, in particolare, offrono:
- stabilità nel tempo
- resa estetica elevata
- sensazione naturale durante la masticazione
- integrazione ottimale con denti e tessuti
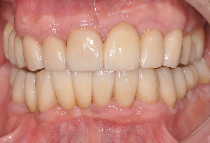
Diresti mai che è una protesi?
Il nostro obiettivo è restituire un sorriso naturale e armonioso attraverso protesi stabili ed integrate, ricorrendo alla protesi mobile solo quando non esistono alternative valide.
Ogni manufatto viene studiato sulla base delle caratteristiche del volto, del sorriso e dell’occlusione, per restituire funzionalità e comfort, esaudendo le aspettative estetiche di ogni paziente.
Le protesi fisse su impianti in particolare, offrono stabilità nel tempo, una resa estetica elevata, una sensazione naturale durante la masticazione, nonché l'integrazione ottimale con denti e tessuti. Il paziente viene accompagnato in ogni fase, dalla pianificazione alla finalizzazione del lavoro, con
pazienza, trasparenza e professionalità.
Hai bisogno di ulteriori informazioni o desideri un confronto diretto con un nostro specialista?
Compila il form o contattaci: saremo lieti di rispondere alle tue domande e guidarti nel percorso più adatto alle tue esigenze.
Contattaci
Contattaci













